

什么是真皮纤维芽细胞?
使皮肤恢复原始状态的再生医疗

真皮纤维芽细胞(成纤维细胞)是存在于皮肤「真皮」部分的细胞,它能够制造构成皮肤三大元素的「胶原蛋白」「玻尿酸」「弹性蛋白」,以及各种蛋白质,有保持皮肤紧致、水润的作用。
真皮纤维芽细胞的数量在20岁以后就会开始减少,到50岁时就会减少至20岁时的1/3左右的量。
真皮纤维芽细胞的减少,就是导致皮肤产生皱纹、松弛等老化症状的原因。
皮肤三大元素各有什么功能?
1. 胶原蛋白 - Collagen
胶原蛋白纤维占真皮层的70-80%,是真皮层的重要组成成分,能保证皮肤的紧致和弹性。它就像是减震结构的「支柱」,能够支撑表皮和皮下组织。
2. 玻尿酸 - Hyaluronic Acid
玻尿酸是一种高分子多糖,1克的玻尿酸就能容纳500克水分,有滋润表皮的作用。
3. 弹性蛋白 - Elastin
弹性蛋白包围著作为支柱的胶原纤维,是赋予皮肤柔韧性和弹性的成分。当用手指按压皮肤时会反弹,是因为包括胶原蛋白纤维在内的弹性蛋白有类似弹簧的作用。
如果真皮纤维芽细胞减少会发生什么?
真皮纤维芽细胞的减少,意味着「赋予皮肤紧致、润泽、弹性的能力」下降。换句话说,皮肤会失去紧致、水分、弹性,从而容易出现皱纹和松弛。
许多的治疗方法是使用光或热来刺激真皮纤维芽细胞,刺激他们促进伤口愈合。但是除了纤维芽细胞治疗之外,没有其他治疗方式能直接的增加真皮纤维芽细胞的数量。
真皮纤维芽细胞治疗的流程
1咨询・血液检查
通过医师问诊了解烦恼及症状,并检查皮肤状况。如果决定治疗当天将进行血液检查。如能在问诊前提供事前的血液检查结果,则能在问诊当天立即采集皮肤组织。
※基本于RD诊所银座院进行治疗,若传染病检查阳性无法在RD诊所进行治疗的情形,请个别与我们咨询。
2皮肤采集・采血
从耳后采集少量皮肤组织,用于细胞培养。采集皮肤时会进行麻醉,因此几乎没有疼痛感。
采集的皮肤大小大约是一粒米的大小。
同时要采集细胞培养所需的血液。采集的皮肤会送至细胞培养加工设施,由专业的细胞培养技术人员操作,抽取真皮纤维芽细胞并进行培养,大约需要5周时间。
可以将培养的细胞冷冻保存,用于将来的治疗。
3细胞移植
将培养好的真皮纤维芽细胞,使用注射器移植到有皱纹或松弛的皮肤部位。
等待移植的细胞稳定后,就会开始修复老化的皮肤组织。
治疗效果最快1个月左右可以观察到,一班情况需要3个月到半年左右。
建议在第一次治疗后间隔5天~1周进行第二次治疗,以便移植的细胞能更加稳定。
4定期复查・保养
治疗后的定期复查是免费的。如果您有来日本的计画,请随时联系或来院咨询。
为维持治疗效果,建议在第一次治疗后,每隔1~2年进行一次细胞移植。
治疗案例(于RD诊所进行治疗)
Case 1. 48岁女性、全脸两次治疗

Before

After(兩年後)
Case 2. 55岁女性、全脸两次治疗

Before

After(兩年後)
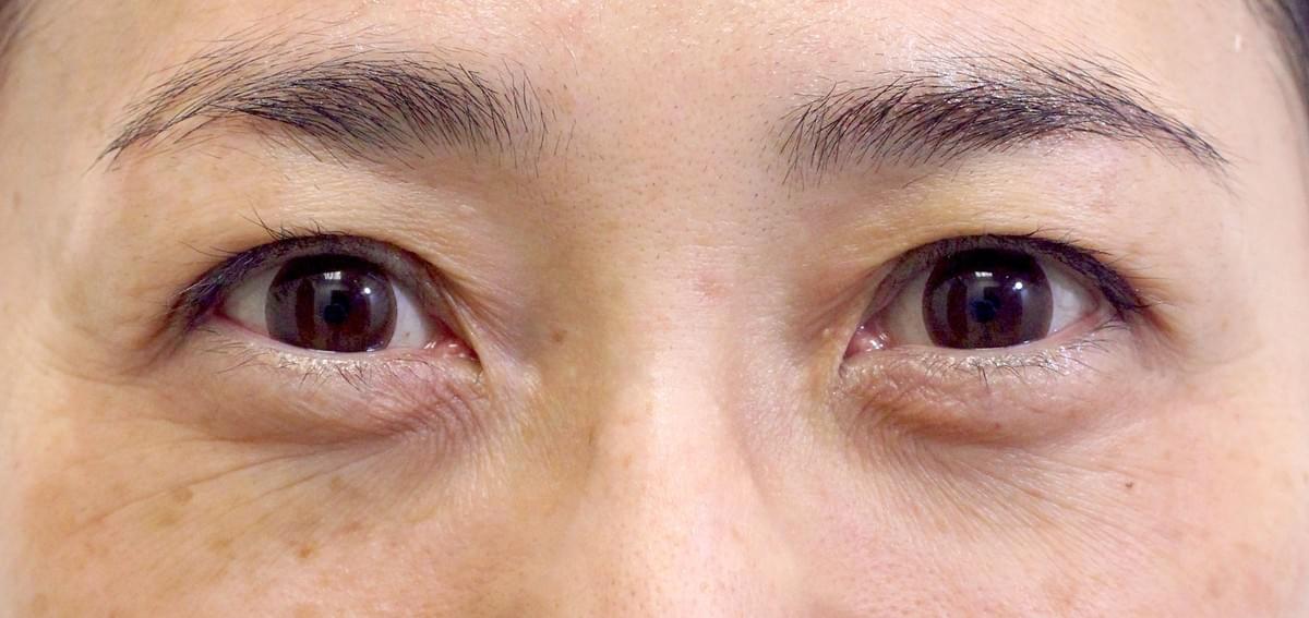
Case 3. 45岁女性、眼周两次治疗

Before

After(兩年後)
Case 4. 59岁女性、法令纹&唇周两次治疗

Before

After(兩年後)
Case 5. 61岁女性、额头皱纹两次治疗

Before

After(兩年後)
© 2024 All right reserved.










